通常尿中に細菌が認められる事はないが尿路感染を発症すると尿中に多数の細菌が見られる。 (未染色) |
![]() |
尿中に認められた赤血球です。(ステインハイマ−染色) 尿浸透圧の関係で溶血し形態を確認出来ない場合もあります。 |
![]() |
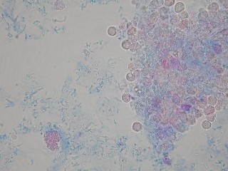
尿路感染で見られた細菌と多数の白血球です。 (ステインハイマ−染色) |
![]() |
糞便中に見られた寄生虫 中央に横たわるヘビ状の物が虫体です。 |
![]() |